porcelain-crowns
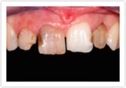
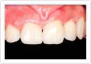
Applied Procedures:
Porcelain Crowns
![]() |
![]() |
| Before Photo | After Photo |
Applied Procedures:
Porcelain Crowns
![]() |
![]() |
| Before Photo | After Photo |
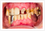
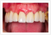
Applied Procedures:
Dental Bridges, Porcelain Crowns
![]() |
![]() |
| Before Photo | After Photo |














