teeth-whitening
Applied Procedures:
Dental Veneers, Teeth Whitening
![]() |
![]() |
| Before Photo | After Photo |
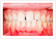
Applied Procedures:
Teeth Whitening
![]() |
![]() |
| Before Photo | After Photo |












